Philippe Vasseur a été hospitalisé sous oxygène à Paris pendant 13 jours, puis renvoyé à domicile sans recommandations. Trois semaines plus tard, alors qu'il tente de rééduquer seul sa respiration, il raconte à l'AFP la persistance des symptômes pour "alerter" sur la nécessité d'informer médecins et patients.
Le Dr Vasseur, médecin hospitalier dans l'unité médico-judiciaire de l'Hôtel-Dieu à Paris - où il reçoit notamment les victimes de coups et de viols - pense avoir contracté le Covid-19 dans l'exercice de ses fonctions. A 64 ans, "avec un poids de jeune homme", il ne présente, insiste-t-il, aucune des comorbidités fréquemment citées: "ni obèsité, ni diabète, ni hypertension". Il se dit "sportif".
Le 13 mars, il ressent les symptômes habituellement décrits - toux sèche, petit rhume, grande fatique - sans réaliser qu'il est aussi essoufflé. Le 20, alors que sa fièvre est élevée - jusqu'à 41.7°- et que son épouse inquiète suggère d'appeler le "15", il mesure sa fréquence respiratoire en posant simplement sa main sur sa poitrine: il compte alors 20 à 22 respirations par minute (contre 10 à 15 en fréquence normale).
- Samu et oxygène -
Un moyen simple et efficace qui le pousse à sortir d'une forme de "déni", reconnaît aujourd'hui le médecin. "Je me disais encore que j'allais bien. L'essoufflement est un signe de gravité qu'il est parfois difficile de mesurer en raison de la grande fatigue ressentie", décrypte-t-il.
Le saturomètre - qui permet de mesurer le taux d'oxygène dans le sang - est également tombé à 90 (entre 95% et 100% normalement) et finit de le convaincre.
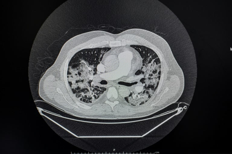
Transporté par le Samu à l'hôpital Cochin, il passe un scanner qui témoigne de lésions pulmonaires, le test nasal PCR confirme qu'il est positif au Covid-19: après une nuit aux urgences, le médecin est transféré en pneumologie et installé sous oxygène, avec un traitement antibiotique d'azythromycine.
Le 28 mars, la fièvre restant élevée, les médecins suspectent une embolie pulmonaire et prescrivent un angioscanner - accompagné d'une injection de produit révélateur dans les vaisseaux - qui écarte cette inquiétude. La fièvre finit par tomber. "Après 13 jours sous oxygène, le sevrage se passe bien, je peux partir". C'est le 4 avril.
La fameuse "vague", redoutée par les soignants, déferle sur l'Ile-de-France après avoir frappé le Grand Est: les bilans explosent, la France compte déjà plus de 5.500 morts et frôle les 7.000 patients en réanimation. "A peine libéré, mon lit est de nouveau occupé" se souvient-il. La toux persiste, la douleur thoracique aussi, ainsi que "des frissons et des tremblements, six à sept jours" après avoir quitté l'hôpital.
Trois semaines après sa sortie de Cochin, le Dr Vasseur énumère les symptômes qui persistent: "Le matin (parce que la position allongée est très mauvaise pour respirer, ndlr), je ressens une pesanteur importante sur la poitrine. Depuis une dizaine de jours, je dors encore sur deux oreillers - au lieu de trois. Je ne peux pas respirer à fond. Je suis toujours très fatigué, essoufflé pour parler. Je n'ai plus de fièvre mais des suées nocturnes qui m'obligent à changer de tee-shirt deux à trois fois par nuit".
- Frissons et tremblements -
"Je n'ai plus ni frisson ni tremblement mais rien que de vous parler, j'ai froid aux mains", précise-t-il: le corps, explique-t-il, dirige l'oxygène disponible vers ses "organes nobles", indispensables à la vie comme le coeur, les poumons, le cerveau... au détriment des extrémités. Les rares kinés qui ont pu reprendre leur exercice sont mobilisés par les patients sortis de réanimation.
"On ignore quelles sont les séquelles de ce virus: pour tenter de les éviter, je me rééduque tout seul par des séries d'expirations/inspirations et en soufflant doucement dans une paille pour faire des bulles dans un verre d'eau". Mais attention: "Il faut y aller doucement pour ne pas irriter ses poumons et recommencer à tousser".
Pour le Dr Vasseur, le patient est laissé un peu à lui-même quand il n'est pas passé par un service de réanimation. Raison pour laquelle il a souhaité partager son expérience.
AFP

