Secourue et prise en charge par Kélonia, la tortue Lémira est morte samedi 9 juin 2012 dans l'après-midi, suite à un blocage du transit intestinal, dû aux déchets plastiques. Ce blocage devait durer depuis un moment vu son état de maigreur. Elle pesait en effet 18,4 kg pour 65,5 cm de longueur de carapace. En conséquence, Kélonia tient à sensibiliser le plus grand nombre sur l'impact de ces déchets sur la faune marine.
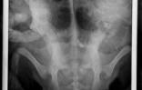
C'est suite à l'appel d'un groupe navigant au Cap Lahoussaye que Kélonia a récupéré un jeune mâle de tortue imbriquée samedi matin. Baptisée Lémira par des apnéistes quelques semaines plus tôt, la tortue a été ramenée au centre de soins de Kélonia alors qu'elle flottait en surface et ne plongeait pas à l'approche du bateau.Affaiblie et radiographiée, la tortue a été mise sous perfusion, mais malgré les soins prodigués, elle est morte dans l'après-midi. L'autopsie a confirmé le diagnostic de la radio, à savoir que la tortue est morte d'un blocage du transit intestinal qui devait durer depuis un moment vu son état de maigreur (18,4kg pour 65,5 cm de longueur de carapace). Le transit était bloqué par une grande quantité de cordes et fils de nylon, de quoi remplir une petite bassine.
"Ce triste évènement doit être l'occasion encore et toujours sensibiliser au problème des déchets plastiques qui impactent l'environnement et entraînent la mort de nombreux organismes marins", souligne Kélonia.
Triste coïncidence, Kélonia organise mercredi dans le cadre des Journées mondiales des océans, deux ateliers de sensibilisation pour le grand public et une conférence avec Globice, sur l'impact de ces déchets sur la faune marine.






