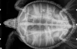
Les agents de la Réserve Marine ont récupéré une tortue imbriquée affaiblie, il y a une quinzaine de jours du coté du sentier sous-marin de l'Ermitage. "La tortue a été prise en charge par le Centre de soins de Kélonia pour un certain nombre de contrôles. La prise de sang et la radio de la tortue montrent des problèmes intestinaux sans gravité qui ont pu être traités rapidement. La tortue va donc pouvoir rejoindre le lagon ce vendredi 3 février matin" précise le centre de soins Kélonia.
Selon les informations du centre, c'est le recrutement des tortues qui les poussent à se rapprocher de nos côtes et permettent aux plongeurs de les observer.
"Ces jeunes tortues qui "recrutent" actuellement dans nos lagons après plusieurs années au large changent de régime alimentaire. Elles doivent ainsi trouver dans leur nouvel habitat les sites où elles pourront se nourrir en quantité suffisante" écrit Kélonia. "Cette étape doit également s’accompagner d’une évolution de la flore intestinale, afin de permettre une bonne assimilation des nouveaux aliments consommés sur le récif. Cette évolution de la flore intestinale peut prendre plusieurs semaines voire plusieurs mois pendant lesquels les tortues peuvent être "barbouillées"" continue le centre.
"Une fois la nouvelle flore intestinale installée, la tortue reprend sa croissance. Une bonne occasion de rappeler l’importance de la flore intestinale, qui est de plus en plus mise en évidence, y compris chez l’Homme. Les probiotiques ou bonnes bactéries de l’intestin jouent un rôle reconnu sur la santé" termine Kélonia.
jm/www.ipreunion.com

